
Elrondâs story didnât start in a clinic, it started in a backyard.
One morning, he appeared at our nurse Karlyâs home, unannounced but very welcome. After doing all the right things, checking local lost pet groups and scanning for a microchip it became clear that Elrond didnât have a home.
So, Karly gave him one.
Over time, this cheeky 3-year-old domestic short hair settled in beautifully. But towards the latter half of 2025, something started to change.
Karly began noticing:
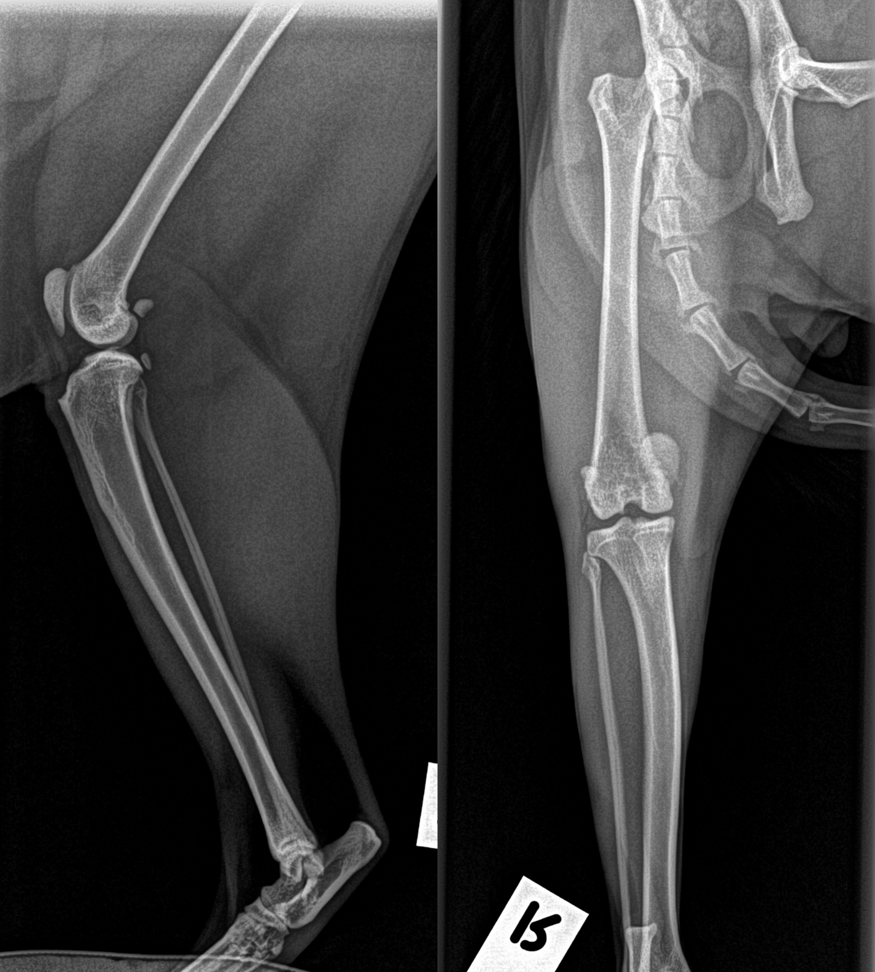
These are classic signs of medial patella luxation  a condition where the kneecap (patella) slips out of its normal position.
Medial Patella luxation occurs when the groove that normally holds the kneecap isnât doing its job properly.
In Elrondâs case, X-rays revealed:
This combination meant his kneecap could easily slip out of place  causing pain, instability, and that tell-tale skipping limp.

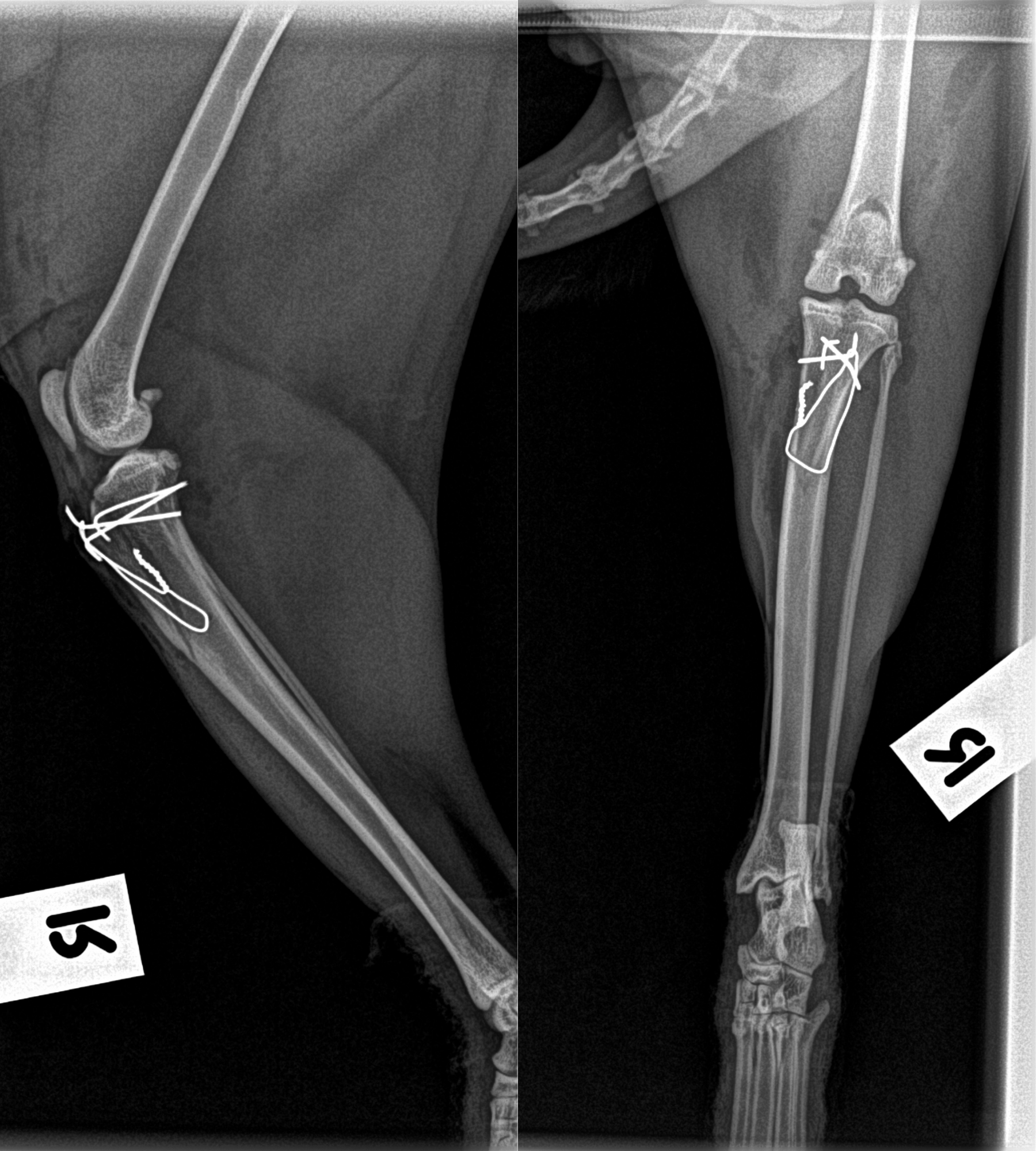
To fix the problem, Elrond underwent medial luxating patella repair surgery performed by Dr Steve Pryor.
This wasnât a simple âput it backâ job it required a multi-step orthopaedic approach:
đ§ What was done during surgery:
The result?
âď¸ Smooth tracking of the patella
âď¸ Full range of motion restored during surgery

Orthopaedic surgery sounds intense  and it is  but modern veterinary medicine makes it very safe and controlled.
Elrond received:
This multimodal approach ensures pets stay comfortable before, during, and after surgery.
Elrond went home the next day with:
Recovery from patella surgery typically involves:
Fast forward to todayâŚ
Elrond is:
In other words, back to being a completely normal cat.
If your pet is showing signs like:
âŚitâs worth getting it checked early.
Patella luxation can worsen over time  but with the right diagnosis and treatment, outcomes like Elrondâs are very achievable.
Elrond went from a mystery backyard visitor to a much-loved (and very active) member of the family  with a surgical journey thatâs a great example of how modern veterinary care can restore quality of life.
And yes⌠weâre still working on the snack-stealing.
â
We use cookies to enhance your experience and better understand how our website is used.
By continuing to browse, youâre helping us deliver the best possible care online. View our Privacy Policy.
%20(1122%20x%201086%20px).jpg)
